Resorptive lesions are unfortunately a common condition affecting both dogs and cats. A cat as early as three years old has a 50% chance of having this condition. In dogs, luckily, the condition is slightly less common. Tooth resorption is a very painful process in which the animal’s body breaks down the tooth from the crown to the roots and leaves behind only a bony bump under the gum line. In early stages, the lesions can be difficult to, but symptoms of later stages include- pain, increased salivation, difficulty eating and loss of appetite and bleeding. The only effective treatment of this is tooth extraction.
The cause of resorptive lesions is unknown, but an autoimmune response or metabolic imbalances are possibilities. Resorption generally starts at the gum line and begins to erode the dentin (the outer layer) of the tooth. Once the lesion has entered the dentin and moves into the pulp (where the nerves are) that is when the pain begins and becomes more painful as it progresses.
Both veterinarians and veterinary technicians have training on how to recognize these lesions, and if suspected, dental x-rays under anesthetic can confirm their findings. Annual exams are therefore so important as they can allow a trained professional to spot this condition and rectify it before your pet feels pain and discomfort. Following a dental cleaning/ extraction procedure, the use of a dental diet, regular tooth brushing and a water additive may help reduce the chances of it occurring in other teeth. In January alone we have performed 11 dental procedures with the majority having extractions as a result of tooth resorption. I can speak about the outcome of one of those surgeries from personal experience- my 10-year-old cat, Sora.
As Sora is a cat with known kidney dysfunction, I was concerned about the procedure and how it would affect him afterwards. Being proactive and beginning diuresis (intravenous fluids to help flush the kidneys) the night before and increasing frequency of subcutaneous treatments after the procedure helped ensure there were no negative effects of the anesthetic on his kidney values. His attitude and appetite were back to normal the days after surgery despite having a row of 3 resorbed teeth extracted. His breath is much better and therefore his little kisses much sweeter. Many of our pet parents have remarked on how much happier their pets seem after the procedure.
Another lovely feline friend, eight-year-old “Sir Ruby” had dentistry with us last month. During his annual health exam in May 2018, we observed that his teeth were moderately dirty, but by August 2018 there was significant suspicion of resorptive lesions noted by the veterinarian during a routine dental examination. The doctor noted the tell-tale red spot and significant gingivitis associated with his lower premolars. A dental procedure was recommended. During Sir Ruby’s dental surgery, gentle dental probing confirmed crown resorption and associated oral pain. X-rays of the affected teeth confirmed root resorption, as well. The teeth were extracted, Sir Ruby recovered quickly and is back to his normal happy self.
The speed in which this condition can progress, as shown in Sir Ruby’s case, is often surprising- and very much supports the importance of regular dental care and checkups. Please call Coxwell Animal Clinic and book your dental examination today!

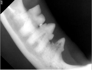
Left Lower Premolars

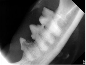
Right Lower Premolars
Written by: Annika Parker, Client Care Representative